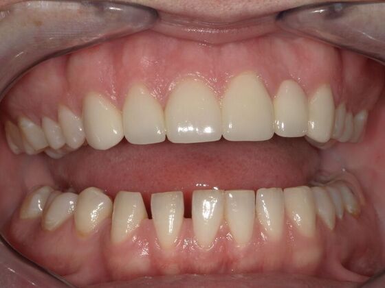
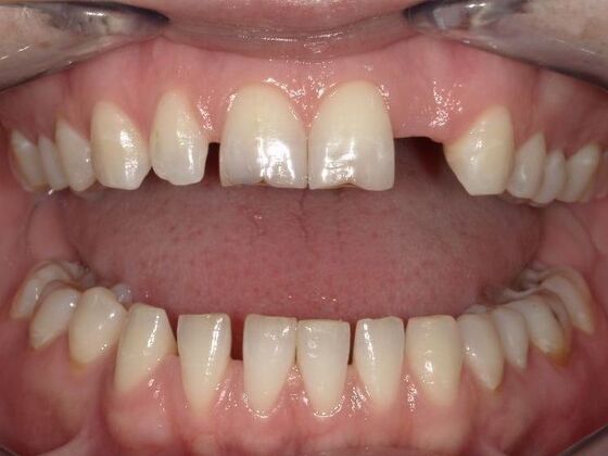
Dental Bridge

Dental Solutions team

Dental Solutions

Dental Solutions has been providing high-tech, family-friendly dentistry to the community for over 20 years. We are affiliated with various noteworthy organizations, including:

  • American Dental Association
  • Academy of General Dentistry
  • Indiana Dental Association
  • International Congress of Oral Implantologists
  • Kosciusko County Dental Society
  • Chicago Dental Society

To visit our highly rated dental office, call us at (574) 269-1199 or request an appointment online.

How Can We Help? Today

"Fantastic staff from making my 1st appointment on the phone, extremely friendly, great cleaning and very knowledgeable! Dr. Bill is very personable & put me at ease, we made a dental plan for some extensive dental work I’ve been putting off. Found my new dental home at Dental Solutions, feeling very comfortable & welcomed!
Thank You!"

Renee T.

Rate, Review & Explore

Social Accounts Sprite