Veneers Warsaw
Premium Materials, Stunningly Natural Results
- Crafted from durable IPS e.max® ceramic
- Partnered with a trusted local lab
- Custom shading for lifelike, seamless smiles
Are Veneers Right for You?
Visit Our Warsaw Practice to Find Out
Veneers can cover up numerous cosmetic concerns, including discoloration, but the only way to determine if porcelain veneers are right for you is to schedule a consultation.
Dr. Stofer in Warsaw has extensive experience and a keen eye for detail needed to craft beautiful dental veneers. If veneers are not the right solution for you, he can recommend other cosmetic dentistry options to improve your appearance, such as whitening treatment.
Are you concerned about cost? We offer in-house financing along with CareCredit® to make your dental treatments more budget-friendly.
Take the first step today by contacting our practice and requesting a consultation.

"So kind and helpful." A 5-Star Experience
Best dentist office and dentist I’ve ever gone to. I have a lot of anxiety around dentist offices and they were so kind and helpful. I highly recommend Dental solutions!
View on GoogleAwesome staff! Definitely going back! They really take care of you there and make you feel comfortable!
View on GoogleWhy Veneers are a Patient Favorite at Our Warsaw Dental Practice
Natural-Looking
Some patients worry about obvious effects but the results are more lifelike than ever before. Our dental veneers are crafted from IPS e.max® porcelain that captures the translucence, shine, and color of your natural teeth.
Versatile
Porcelain veneers are a versatile cosmetic dentistry option that artfully hides imperfections, including stains, chips, gaps, or misalignment. By creating a beautiful smile, you can enjoy renewed confidence in your appearance.
Long-Lasting
Today's porcelain veneers are remarkably strong. With proper care, they should last about 10 years. You can prolong the lifespan of your veneers with regular visits to the dentist along with routine brushing and flossing.
Fast Results
After just two visits to our Warsaw, IN, dentist's office, you can walk out picture-perfect for that next snapshot or ready to enjoy a big event knowing you look your best.
Imperfections We Can Transform With Porcelain Veneers at Our Warsaw Office
Porcelain veneers are incredibly versatile when it comes to masking imperfections. Sometimes people have just one tooth that is discolored due to an injury or root canal procedure. Other patients of our Warsaw practice need several teeth treated to create a more symmetrical smile. Veneers can transform teeth that are:

Comfort-Focused Care Every Step of the Way
Our loyal patients appreciate the extra attention they receive at our Warsaw dental office. We believe it's the little touches that put you at ease, from our patient-focused service to the relaxing environment and coffee bar.
And if visiting the dentist makes you nervous, we offer several types of sedation dentistry to make your appointments more comfortable.
“Everyone is so kind and helpful. They’re very professional and not pushy. The offices are very clean as well. I’m very impressed with it all. I highly recommend Dental Solutions.”
— K. G., 5-star review
Are Veneers the Right Choice for You? Candidacy Factors Your Dentist Will Consider
Because dental veneers are a versatile cosmetic dentistry option, they are a popular procedure at Dental Solutions in Warsaw.
But to be considered a good candidate, there are a few standards each patient should meet, such as good oral health. Even if you think that dental problems might get in your way, Dr. Stofer can work with you to overcome issues that would otherwise prevent you from getting the smile you want.
Whatever your needs, Dr. Stofer will carefully address your goals and make expert recommendations based on your situation. Here are some factors that make patients good candidates:
Good Oral Health
You should be in good oral health before any type of cosmetic dentistry treatment. If you suffer from cavities, gum disease, bite problems, or other dental issues, Dr. Stofer can provide treatment to first address these concerns.
Healthy Tooth Enamel
You should have enough healthy enamel on each treated tooth so the dentist can safely remove a thin layer to make room for the dental veneers.
No Teeth Grinding
Teeth grinding can increase the risk of damage to porcelain veneers. If you suffer from bruxism, Dr. Stofer may recommend an oral appliance to protect your teeth and veneers.
Good Oral Hygiene
Porcelain is resistant to stains and decay, but the teeth supporting them are not, which makes proper oral hygiene a necessity. This means you should be committed to good oral hygiene, including regular visits with your dentist and a daily routine of brushing and flossing.
Enhance Your Appearance in Just Two Visits
Creating a more perfect smile can be accomplished in just two visits to our practice in Warsaw, where we use the latest technology and only the highest quality ceramic materials to craft your restorations.
We can also combine your veneers with other cosmetic services, such as teeth whitening or gum contouring to enhance your final results.
We offer high-tech, patient-focused care in a comfortable office.
Combine Cosmetic Procedures for a Complete Smile Makeover
In some cases, veneers are just not enough to achieve all of your cosmetic goals. If you need more extensive corrections, Dr. Stofer can design a smile makeover treatment plan.
A smile makeover combines multiple cosmetic and restorative services into one streamlined procedure. Depending on your needs, we can include veneers, dental crowns, teeth whitening, gum contouring, and more in your custom plan. Find out what we can do for you by scheduling a consultation at our Warsaw practice.
Want to see some real patient transformations? Check out our smile gallery to view before and after images of our cosmetic treatments.

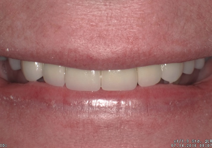
One of our Smile Design transformations.
Discover the Ideal Treatments for You Request a Consultation at Our Warsaw Dental Office
If you are considering porcelain veneers or another form of cosmetic dentistry, we encourage you to schedule an appointment at our Warsaw practice. Your dentist will examine your smile and help you make an informed decision about your treatment to achieve the best results.
Do You Need Restorative Treatment Instead?
Dental veneers are beautiful cosmetic solutions, but if you have badly broken or missing teeth, restorative treatments such as dental crowns or dental implants are probably a better solution. Dr. Stofer is one of the few dentists in the area who specializes in dental implants, which will not only improve your smile but also restore a healthy bite.
“I feel like part of the family.” Why Warsaw Loves Working With Our Team
I had a great experience with the whole team @ dental solutions. Looking forward to what is in store for my smile working with these fantastic individuals!
View on GoogleI feel like part of the family when I go get my teeth clean or have stuff done. Atmosphere is really great thank you again for everything.
View on Google
