
Dental Crowns
If you have a broken, badly decayed, or single missing tooth, you need to repair or replace it with a strong dental restoration.
We can provide a porcelain dental crown to restore the function and appearance of your smile.
Tell me more about how our dentists in Warsaw, IN, can treat and protect a damaged tooth with a life-like dental crown...
Experiencing Dental Pain? Call us for an emergency appointment
If you're in pain or damaged a tooth, prompt treatment is needed to save the tooth, preserve your oral health, and eliminate your pain. Contact our Warsaw dental practice today so we can schedule you to see the dentist as soon as possible.
A Durable and Natural-Looking Solution
Protection
Teeth that have been damaged due to trauma or have undergone a root canal are completely covered with a dental crown to provide protection from further damage. We can also provide a temporary crown while your permanent restoration is being completed.
Durability
Modern crowns are built to last. In fact, by practicing proper hygiene and making regular visits to your dentist, you can expect your crown to last 10 years or more.
Aesthetics
Today's crowns are virtually indistinguishable from natural teeth. You can expect your smile to look healthy and attractive after your dentist completes your crown procedure.
"Kind, Friendly, Speedy, and Financially Reasonable."
I always like going here. The staff is awesome and always friendly and likes to laugh and joke with you. I went to day for a cleaning and Julie was amazing and friendly plus very professional. Great place to go even for your children !
View On GoogleI always have a great visit at Dental Solutions. Dr Brock Spangle did a fantastic job, was very kind and thorough bedside manner. I very much recommend coming in to this office!
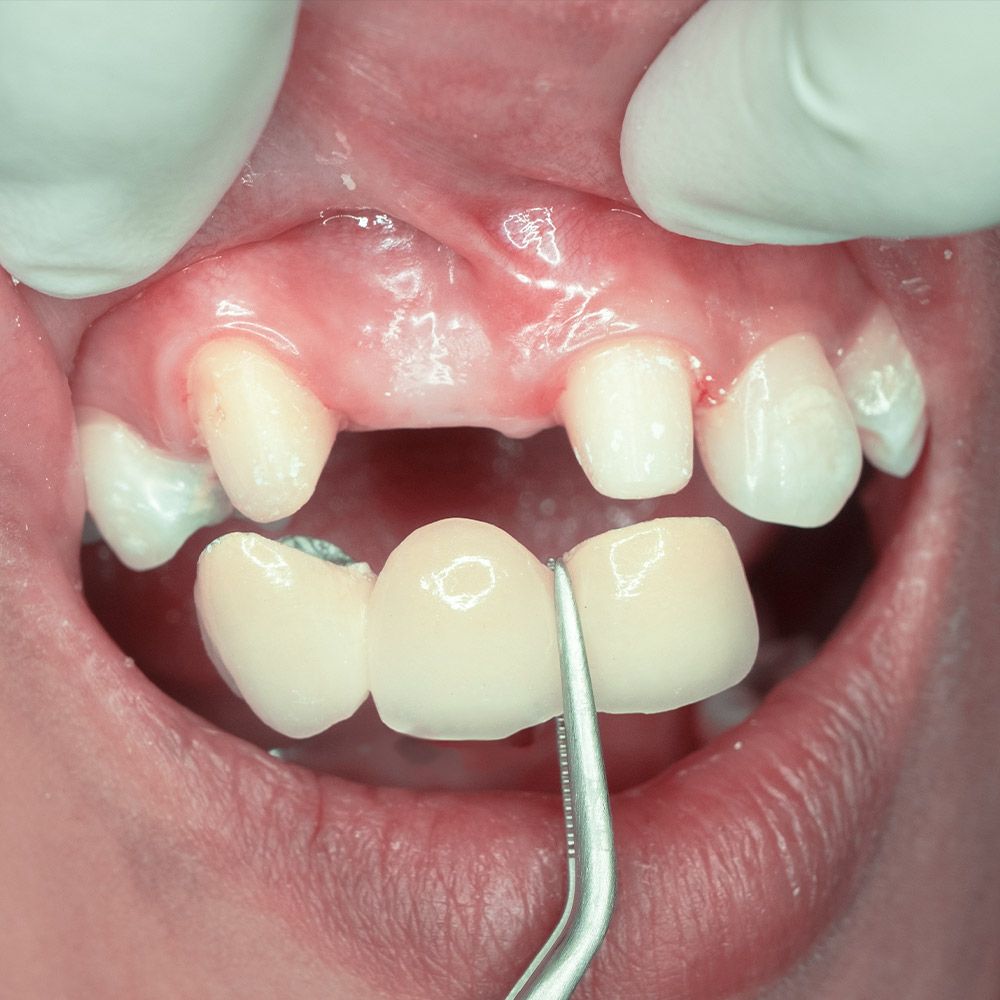
View on GoogleSee How a Dental Crown is Placed at Our Warsaw Dental Practice
How do I know I need a dental crown?
Have a Painful Tooth in Need of Dental Care? Request an Appointment Today
To learn more or to schedule an appointment with our dentist, serving the needs of families in and near Warsaw, IN, you can contact us by filling out the convenient form below:
"Could not be more satisfied with the care, professionalism, and team."
I could not be more satisfied with Dental Solutions Doctor and staff. Dr Stofer and staff are the best . They make sure each patient receive the best always.
View on GoogleCould not be more satisfied with the care, professionalism and team at Dental Solutions. High tech dentistry meets high quality customer service. The prefect intersection everyone wants in their dentist!
View on GoogleAffordable Dental Services Flexible Financing Is Available
To help make treatment as affordable as possible, we accept most major dental insurance plans. Our friendly office staff will file all the necessary paperwork with your provider so that you can make the most out of your benefits.
For patients without insurance or those who are interested in managing their out-of-pocket expenses, we offer financing through CareCredit®. A financing company that specializes in medical and dental expenses, CareCredit offers flexible monthly payment plans. With CareCredit, you can get the dental care you need when you need it while still managing your budget.
We will be glad to discuss your insurance coverage and any questions you have regarding financing with CareCredit during your next visit to our Warsaw dental office.
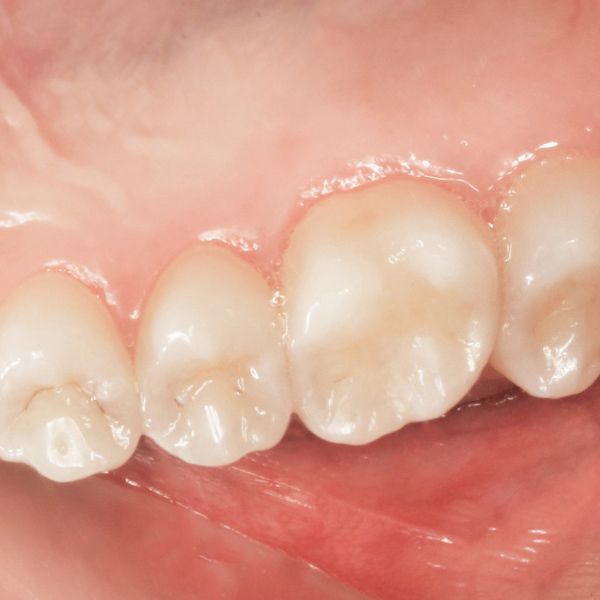
High-Quality Restorative Materials Ensure a Superior Dental Crown
Though dental crowns can be constructed using a number of materials, our use of porcelain crowns provides a superior cosmetic result. In addition to restoring full functionality, these crowns blend seamlessly into your smile. The placement of dental crowns can also be combined with additional cosmetic treatments, such as teeth whitening, to enhance the final results.
While traditional metal crowns are distracting when placed on visible teeth, porcelain is designed to mimic the properties of natural tooth enamel. We precisely match the shade of porcelain to your existing tooth enamel for a natural-looking result. If you have an existing metal crown that you would like to replace, we are happy to update your smile with a custom porcelain alternative.
IPS e.max®
Offering excellent aesthetic results and incredible strength, IPS e.max crowns can be crafted to provide a lifelike dental restoration.
IPS Empress
Natural-looking IPS Empress crowns scatter light and provide translucency in a way that is the closest match to natural teeth.
Zirconia Crowns
The most durable material, zirconia is considerably stronger than other options and can provide the longest lifespan for your new restoration.
What Happens During Dental Crown Treatment?
Our use of porcelain crowns provides a superior cosmetic result.
Why trust Dental Solutions for your treatment?
Serving the Community With Effective Solutions
A single compromised tooth can cause dental pain and other serious issues. Without timely treatment, it may require extraction. Fortunately, there is a simple and affordable solution in the form of dental crowns.
Our team, led by Dr. Stofer, is committed to providing unparalleled care to keep your oral health in excellent condition. Regardless of your concerns, big or small, we strive to provide first-rate, individualized treatment. Serving the community in Warsaw, IN, for over 20 years, we provide outstanding treatment and a comprehensive range of dental services. Schedule an appointment at our office today! You can reach us online, or call:
(574) 269-1199

"These guys never ever fail to impress."
The office staff were great. Tammy responded quickly to my dental emergency. Dr. Stoffer and his assistant were very kind and helpful. I needed more work than I expected but the doctor explained it clearly. He took his time and I never felt rushed. I highly recommend!
View On GoogleThese guys never ever fail to impress. I can use the example today. I broke my tooth, twice within a weeks time and not only did they get me in on the day of calling. They go out of their way to help and have you leave with a smile. Definitely would recommend to everyone
View On GoogleNervous about Dental Treatment? We Offer Sedation Dentistry
Our Warsaw, IN, practice offers different methods of sedation to ensure our patients are comfortable during treatment. Sedation dentistry is particularly beneficial for people with severe dental anxiety or those undergoing long procedures like dental implant placement.
We provide three different methods to induce a state of relaxation before beginning dental work:
Nitrous Oxide
Light sedation is so safe it can be used on children. Nitrous oxide works quickly and the effects fade away almost immediately, allowing patients to drive themselves home following treatment.
Oral Conscious Sedation
Administered as a pill, moderate sedation may cause feelings of drowsiness. Because oral conscious sedation lasts longer than most dental procedures, patients will need to arrange transportation.
Intravenous Sedation
IV sedation puts patients in a twilight state where they may drift off to sleep. The lasting effects of IV sedation mean that patients will need someone to drive them to and from their appointment.
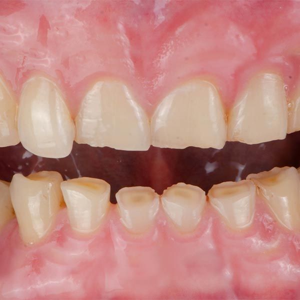
What do the results look like?
Just Like Natural Teeth

Maintaining Your Dental Crown
Good Oral Hygiene
Brush your teeth twice daily, and floss at least once a day to prevent plaque build-up and infection. Floss carefully around your crown and use an oral irrigator (water flosser) to clean hard-to-reach places.
Avoid Excessive Force
Refrain from grinding your teeth, opening packages with your teeth, or eating foods that are excessively hard and sticky. Your dental crown can wear just like your natural teeth and can crack under severe pressure. We can discuss a protective oral appliance if you habitually clench and grind your teeth.
Attend Dental Check-Ups
Never underestimate the importance of your bi-annual check-ups at our Warsaw office. These appointments let us provide a thorough cleaning and check for any problems with your restoration.
Frequently Asked Questions About Dental Crowns
Why not just pull a damaged or decayed tooth?
Pulling a damaged or decayed tooth may seem cheaper and easier, but it will cost you more in the long run. Even a single missing tooth can lead to oral health issues, such as shifting teeth, that may require more extensive dental work later on. By treating and preserving the tooth structure now, you can prevent problems down the road.
Does a dental crown hurt?
No. Your dentist will properly numb you before treatment. For patients who need an extra level of comfort care, dental sedation options are also available. There may be some mild discomfort once the anesthetic wears off, but it should be easily managed with over-the-counter medication. If it doesn't resolve within a few days, contact our practice so we can help address the issue.
How long will my dental crown last?
With proper care and maintenance, your dental crown can last for 10 to 15 years or longer. However, over time, the crown will wear and will eventually need to be replaced. If you have a worn or damaged dental crown, we can replace your old crown with a new one to preserve your tooth structure.
Can your dentist place an implant-supported dental crown?
Yes. Our skilled dentist can place dental implants and implant-supported restorations to replace missing teeth. Replacing a missing tooth as soon as possible can help prevent your remaining teeth from shifting. Dental implants can also prevent the jawbone atrophy that can occur from missing teeth.
Is there a difference between a cap and a crown?
No. A cap is simply another way to say crown. It is an antiquated term used for the same treatment.
"Thank you Dental Solutions of Warsaw, IN"
I had a tooth issue over the weekend. First thing on Monday morning I called and they got me an appointment for that same day. The staff was amazing and so caring. Dr Stofer was a “gentle giant” with a spot on assessment and understanding personality! Thank you Dental Solution of Warsaw, IN
View on GoogleIt's been a year since I came to Dental Solutions, and I have to say this is the best dental care I've ever had. Everyone is so kind, gentle and understanding! Dr. Stofer is good at explaining what needs to be done. I would recommend Dental Solutions to anyone looking for dental care!
View on Google









